Nachrichten | Schweiz

15. März 2021

Philips Incisive CT wird dank KI-gestützter Precise Suite noch intelligenter

Horgen, SchweizRoyal Philips (NYSE: PHG, AEX: PHIA) hat die Markteinführung der KI-gestützten Precise Suite1 für seine Incisive CT-Plattform angekündigt. Die Precise Suite sorgt für intelligente Workflows von der Bildakquisition bis zur Befundung. KI-gestützte Bildrekonstruktion, automatisierte Patientenpositionierung, bewegungsfreie Aufnahmen des Herzens und Echtzeit-Führung bei interventionellen Eingriffen treiben Dosismanagement, Geschwindigkeit und Bildqualität voran.

 

Trotz rasanter Fortschritte bei Schnelligkeit und Leistungsfähigkeit in der Computertomographie stehen radiologische Abteilungen weiterhin vor der Herausforderung, steigende Patientenzahlen zu bewältigen, eine konsistente Bildqualität sicherzustellen sowie gleichzeitig die betriebliche Effizienz zu erhöhen und die Kosten pro Scan zu reduzieren. An dieser Stelle setzt die Precise Suite an. Durch den Einsatz von künstlicher Intelligenz (KI)2 werden Arbeitsabläufe vereinfacht und automatisiert sowie ein Höchstmass an Bildqualität erreicht. So können Wiederholungsaufnahmen vermieden und die diagnostische Sicherheit verbessert werden.

 

«Die Computertomographie ist eines der am weitesten verbreiteten Bildgebungsverfahren in der modernen Medizin. Daher bieten KI-gestützte Verbesserungen wie die Precise Suite, die sich auf diagnostische Sicherheit und Workflow-Optimierung konzentrieren, enormes Potenzial für Value-based Healthcare», sagt Karim Boussebaa, General Manager Computed Tomography bei Philips. «Die Precise Suite sorgt für intelligente End-to-End-Workflows von der Bildakquisition bis zur Befundung und steigert so die Geschwindigkeit, Konsistenz und Zuverlässigkeit der Diagnostik.»

 

Die Precise Suite ergänzt das wachsende Portfolio an KI-fähigen Smart-Workflow-Lösungen von Philips. Ziel ist die Förderung der Effizienz bei der Bildakquisition.

 

  • Precise Image: Erhöht die diagnostische Sicherheit und verringert die Erschöpfung der Radiologinnen und Radiologen durch eine Verbesserung der Bildqualität und gleichzeitige Dosisreduktion.

 

  • Precise Position: Automatisierte Patientenpositionierung durch eine KI-gestützte Kamera für mehr Genauigkeit und die Konsistenz in einem Bruchteil der Zeit.

 

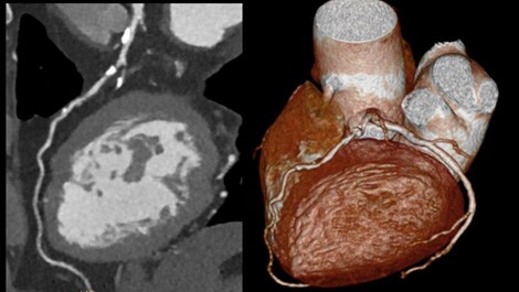
  • Precise Cardiac: ZeroClick-Technologie kompensiert die Herzbewegung bei hohen Herzfrequenzen.

 

  • Precise Intervention: Automatische Nadelführung sorgt für höhere Effizienz und Sicherheit bei CT-geführten Interventionen.

 

Die Precise Suite ist die neueste einer Reihe von Leistungserweiterungen für Philips Incisive CT. Dazu gehören ein speziell für bariatrische Patientinnen und Patienten designter Patiententisch, PerformanceBridge zur kontinuierlichen Optimierung der operativen Performance und die Dosismanagement-Lösung DoseWise Portal.

 

Mehr Informationen: www.philips.com/ecr

1 Die Precise Suite gilt als «work in progress» und ist noch nicht verfügbar.

2 Nach der Definition von KI der EU High-Level Expert Group on Artificial Intelligence.

Über Royal Philips

Royal Philips (NYSE: PHG, AEX: PHIA) ist ein führender Anbieter im Bereich der Gesund­heits­technologie. Ziel des Unternehmens mit Haupt­sitz in den Niederlanden ist es, die Gesund­heit und das Wohl­befinden der Menschen zu verbessern und sie mit entsprechenden Produkten und Lösungen in allen Phasen des Health Continuums zu begleiten: während des gesunden Lebens, aber auch in der Prävention, Diagnostik, Therapie sowie der häuslichen Pflege. Die Entwicklungs­grundlagen dieser integrierten Lösungen sind fortschritt­liche Technologien sowie ein tief­greifendes Verständnis für die Bedürfnisse von medizinischem Fach­personal, Konsumentinnen und Konsumenten. Das Unternehmen ist führend in diagnostischer Bildgebung, bild­gestützter Therapie, Patienten­monitoring und Gesundheits-IT sowie bei Gesund­heits­produkten für Verbraucherinnen und Verbraucher und in der häuslichen Pflege. Philips beschäftigt etwa 82.000 Mitarbeiterinnen und Mitarbeiter in mehr als 100 Ländern und erzielte 2020 einen Umsatz von 19,5 Milliarden Euro. Mehr über Philips im Internet: www.philips.ch/healthcare

Klicken Sie hier für weitere InformationenWeniger lesen

Themen

Kontaktdaten

Kerstin Zimmermann

PR Managerin Philips Health Systems

Tel.: +49 171 8180 186

Medienmaterial

Philips Incisive CT Precise Suite

Philips Incisive CT Precise Suite

Philips Incisive CT Precise Suite - Beispiel Cardio

Philips Incisive CT Precise Suite - Beispiel Carotid

Downloads

You are about to visit a Philips global content page

Continue

Unsere Seite wird am besten mit der neuesten Version von Microsoft Edge, Google Chrome oder Firefox angezeigt.